Porcelain Veneers vs. Composite Veneers in North Hollywood: Which Is Worth It?
If you have been researching veneers, you have probably encountered two options: porcelain and composite. The price difference can be significant — so is the upgrade worth it, or will composite give you the same results for less?
The honest answer is that the best choice depends on your goals, budget, and the specific cosmetic concerns you are trying to address. At A-Dental Center, we help patients navigate the porcelain veneers vs. composite veneers decision in North Hollywood every day. Here is everything you need to know.
What Are Porcelain Veneers in North Hollywood?
How Porcelain Veneers Are Made
Porcelain veneers are custom-crafted thin shells made in a professional dental lab. Each veneer is individually designed to match the precise shape, size, and shade you want. The fabrication process typically takes one to two weeks — meaning treatment requires at least two appointments.
Why Porcelain Looks the Most Natural
Porcelain is fired at high temperatures, creating a dense, glass-like material that is highly stain-resistant, very durable, and virtually indistinguishable from natural tooth enamel in the way it reflects light. For a full breakdown of what the veneer process involves and why the commitment is irreversible, read our post on are veneers permanent before making your decision.
What Are Composite Veneers in North Hollywood?
How Composite Veneers Work Differently
Composite veneers are made from tooth-colored resin — the same material used for tooth-colored fillings — and are applied directly to the tooth in a single appointment. Your dentist sculpts and shapes the resin by hand, then hardens it with a curing light.
Because composite veneers are completed chairside without a dental lab, they can be finished faster and at significantly lower cost. According to the Cleveland Clinic, both porcelain and composite veneers are widely accepted cosmetic treatments. However, they serve different patient needs — and the right choice depends heavily on individual goals and lifestyle factors.

Porcelain Veneers vs. Composite Veneers in North Hollywood: Side-by-Side Comparison
How the Two Options Compare Directly
Understanding the key differences between porcelain veneers vs. composite veneers in North Hollywood makes the decision much clearer:
- Appearance: Porcelain wins — its light-reflecting properties are virtually identical to natural enamel. Composite looks good but can appear slightly flat or opaque under certain lighting conditions.
- Stain resistance: Porcelain is highly stain-resistant. Composite is porous and stains over time from coffee, wine, and tobacco. This is also why professional teeth whitening cannot lighten composite resin — whitening only affects natural tooth structure, not bonded materials.
- Durability: Porcelain lasts 15–20 years with proper care. Composite typically lasts only 5–7 years before needing replacement or repair.
- Cost: Composite is significantly less expensive — often $400–$800 per tooth vs. $1,500–$2,500 for porcelain. For full pricing details, read our post on veneers cost in North Hollywood.
- Repairability: Composite can be repaired chairside if it chips. Porcelain must be replaced entirely if it fractures.
- Appointments: Composite can be done in one or two visits. Porcelain requires two visits over 2–3 weeks — similar in timeline to a dental crown, which also uses a lab fabrication process.
- Reversibility: Both often require removing a thin layer of enamel — making them permanent decisions. Our post on are veneers permanent explains exactly what enamel removal means for your teeth long-term.
Which Should You Choose: Porcelain Veneers vs. Composite Veneers in North Hollywood?
When Porcelain Is the Better Choice
Choose porcelain if you want the most natural, longest-lasting result. Choose porcelain if you drink coffee, tea, or red wine regularly. Additionally, porcelain is the right choice if you are doing a full smile makeover with 6 or more veneers — or if you want a result that looks premium and stays that way for 15+ years.
When Composite Is the Better Choice
Choose composite if your budget is a primary concern. Composite also makes sense if you want to test the look before committing to porcelain, if you only need minor corrections on one or two teeth, or if you prefer the ability to repair chips without replacing the entire veneer.
One Critical Factor Regardless of Which You Choose
If you grind your teeth, that must be addressed before veneers of any kind are placed. Our complete guide on how to stop grinding your teeth at night explains why bruxism is the number one cause of premature veneer failure — and how a custom night guard protects your investment long-term.
The Bottom Line on Porcelain Veneers vs. Composite Veneers Cost in North Hollywood
Why Porcelain Often Costs Less Per Year
When you factor in longevity, porcelain often costs less per year over time. Eight porcelain veneers at $1,500 each that last 20 years work out to approximately $600 per year. Eight composite veneers at $700 each that need replacing every six years cost significantly more in the long run — plus the time and inconvenience of repeat appointments.
What Research Confirms
The American Dental Association notes that porcelain veneers consistently outperform composite in long-term clinical studies for both durability and patient satisfaction. Additionally, Webmd confirms that porcelain veneers are among the most durable cosmetic dental solutions available when placed and maintained correctly.
Protecting Your Investment Long-Term
Keeping your underlying dental health in order is essential for veneer longevity. Gum recession around veneer margins is one of the most common long-term complications. Regular monitoring catches it early before it affects your final result.
Book Your Free Smile Consultation at A-Dental Center in North Hollywood
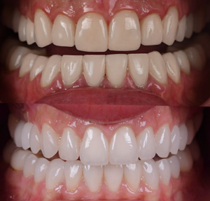
At A-Dental Center in North Hollywood, we show you digital previews of what both porcelain veneers vs. composite veneers would look like on your specific teeth — before you commit to anything.
For a full overview of what dental care costs at our practice, read our post on how much a dentist costs in North Hollywood. If dental anxiety has been a barrier, our post on dental anxiety in North Hollywood explains how we make every visit comfortable and judgment-free.
Call (818) 593-0700 to get started today.





