Before And After
Before And After Transformation Gallery
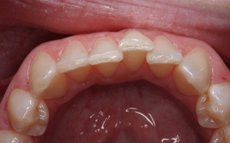
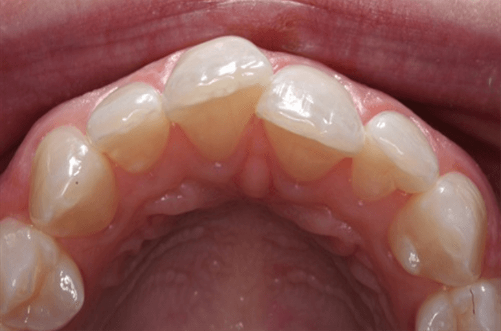
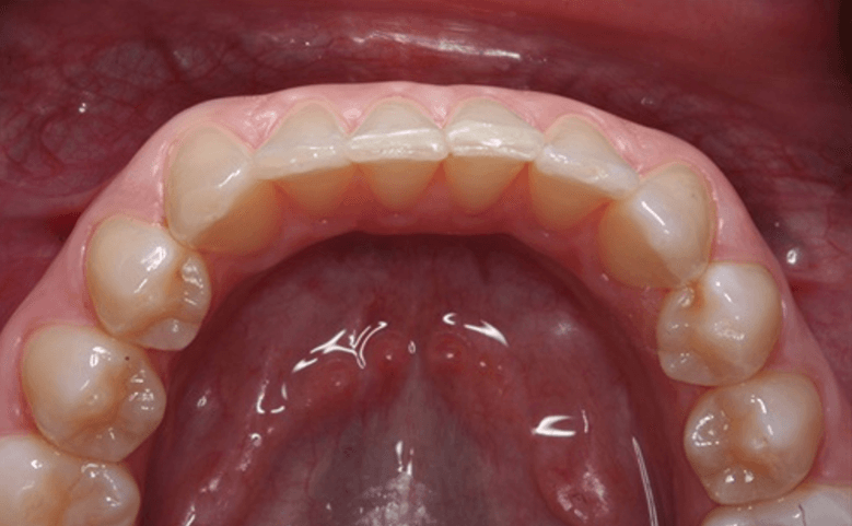
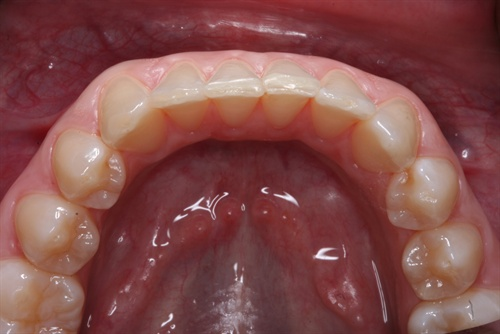
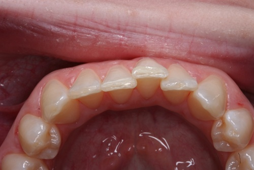
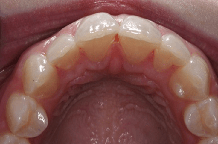
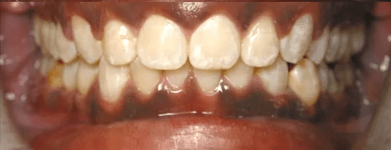
The results you see in our gallery represent real patients who came to us with real concerns, and left with smiles they are proud to show off.
At A-Dental Center in North Hollywood, Dr. Elzayat combines advanced dental technology with a personalized approach to cosmetic and restorative care.
Whether you are looking to correct discoloration, restore missing teeth, or completely refresh your smile, the photos below show what is possible.
What Our Patients Have Achieved
Our before and after gallery features a wide range of treatments performed right here in our North Hollywood office.
The transformations you see are the result of procedures including porcelain veneers, teeth whitening, dental implants, dental crowns, composite bonding, smile makeovers, and full arch restorations with All-on-4.
Every case is different, and every treatment plan is tailored to the individual patient’s goals, anatomy, and budget.
We invite you to browse the gallery and imagine what a customized treatment plan could do for your smile. When you are ready to take the next step, our team is here to help.
Frequently Asked Questions About Cosmetic Dental Results
Yes. Every photo in our gallery features an actual patient of A-Dental Center in North Hollywood. No stock images or simulated results are used. All photos are shared with patient consent.
It depends on the treatment. Teeth whitening results can be visible after a single visit. Porcelain veneers typically require two appointments over a few weeks. Dental implants involve a healing period of several months before the final restoration is placed. During your consultation, Dr. Elzayat will give you a realistic timeline based on your specific treatment plan.
Absolutely. Many of the transformations in our gallery involve patients who had missing or severely damaged teeth. Options like dental implants, All-on-4, implant-supported bridges, and full arch restorations can rebuild your smile from the ground up.
Yes. Dr. Elzayat uses tooth-colored materials including porcelain veneers, composite resin, and zirconia crowns that are designed to blend seamlessly with your natural teeth. The goal is always a result that looks beautiful and feels completely natural.
The best starting point is a consultation with Dr. Elzayat. During your visit, we will evaluate your oral health, discuss your goals, and walk you through the options that make the most sense for your situation. We also offer same day and next day appointments for new patients.
Most cosmetic treatments such as veneers and whitening are not covered by dental insurance. However, restorative procedures like dental implants or crowns may be partially covered depending on your plan. Our team is happy to help you review your benefits and discuss financing options before treatment begins.