Are Veneers Permanent in North Hollywood? Everything You Need to Know Before Committing

Are veneers permanent North Hollywood? This is one of the most important questions to understand before committing to cosmetic dental treatment.

At A-Dental Center, we make sure every patient fully understands this distinction before proceeding. Here is exactly what it means in practical terms.


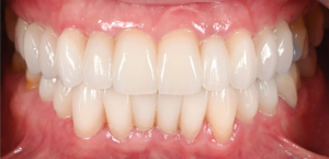
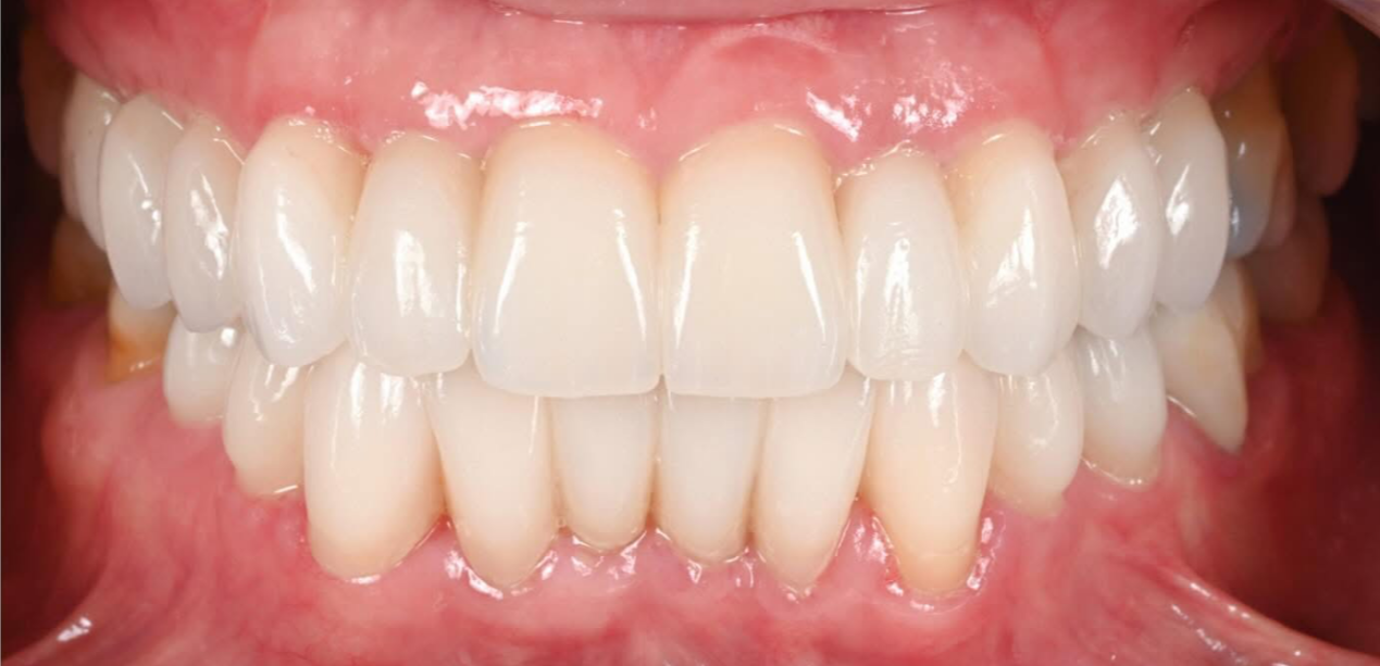
Are veneers permanent North Hollywood — porcelain veneers correcting crowding at A-Dental Center
Porcelain veneers correcting crowding at A-Dental Center in North Hollywood — a permanent cosmetic commitment that delivers immediate, dramatic results lasting 15–20 years with proper care.

Why Are Veneers Permanent in North Hollywood? The Enamel Preparation Explained

What Happens to Your Tooth During Veneer Placement

To place a porcelain veneer, your dentist removes a thin layer of enamel from the front surface of the tooth — typically about 0.5 to 0.7 millimeters. This space allows the veneer to sit naturally without looking bulky or feeling unnatural.

Why Enamel Removal Makes Veneers Irreversible

Enamel does not grow back. Once it is removed, the tooth permanently requires a veneer — or some other coverage — to protect the prepared surface. This is closely related to why enamel protection matters so much in general. Our post on does teeth whitening damage enamel explains the science of enamel loss and confirms that once enamel is gone, it cannot be restored naturally.

What the ADA Confirms

According to the American Dental Association, veneers are considered a permanent cosmetic procedure precisely because of the enamel preparation involved. Patients should therefore be fully informed before proceeding — which is exactly what A-Dental Center ensures at every consultation.


How Long Do Veneers Actually Last in North Hollywood?

Expected Lifespan With Proper Care

While the procedure itself is irreversible, the veneers will eventually need to be replaced. With proper care, high-quality porcelain veneers typically last 15 to 20 years. Some patients go significantly longer. Others — particularly those who grind their teeth or do not follow care guidelines — may need replacement sooner.

The Single Biggest Risk to Veneer Longevity in North Hollywood

If grinding is a concern, our post on how to stop grinding your teeth at night is essential reading before committing to veneers. Bruxism is the single most common cause of premature veneer failure. As a result, addressing it with a custom night guard before veneer placement is strongly recommended by every experienced cosmetic dentist.

What Happens When Veneers Need Replacing

When veneers eventually need replacing, new veneers are fabricated and bonded to the same prepared teeth. The process is repeated — and you continue with veneers indefinitely throughout your lifetime.


What About No-Prep Veneers? Are Those Permanent in North Hollywood Too?

How No-Prep Veneers Differ

Some practices offer no-prep or minimal-prep veneers — brands like Lumineers are an example — which require little to no enamel removal. These can sometimes be reversed if the patient changes their mind. As a result, they represent a less permanent commitment for patients who are uncertain about the procedure.

The Limitations of No-Prep Veneers

However, no-prep veneers have significant limitations. Because they are placed directly over unprepared teeth, they can look slightly bulkier and may not be appropriate for all cases. Your dentist will help you determine whether this option suits your specific smile goals.

For a full side-by-side breakdown of your veneer material options, read our post on porcelain veneers vs. composite veneers — it covers appearance, longevity, cost, and which type suits different smile goals and budgets.


How to Make Veneers Last as Long as Possible in North Hollywood

Daily Habits That Extend Veneer Lifespan

Understanding that veneers are permanent in North Hollywood makes protecting your investment even more important. These daily habits consistently extend veneer lifespan significantly:

  • Brush twice daily with a non-abrasive toothpaste
  • Floss daily to prevent decay at the margin where the veneer meets the tooth. Our post on what happens if you don’t fill a cavity illustrates exactly how quickly decay progresses when veneer margins are neglected.
  • Avoid biting your nails, chewing on pens, or using your teeth as tools
  • Do not bite into very hard foods — ice, hard candy, or crusty bread — with veneer teeth
  • Wear a night guard if you grind — our complete guide on how to stop grinding your teeth at night explains exactly how this protects your investment
  • See your dentist every six months for monitoring — if gum recession develops around veneer margins, early intervention prevents much larger problems

What Research Confirms About Veneer Longevity

Pubmed notes that patients who follow their dentist’s maintenance guidelines and wear a night guard consistently report veneer lifespans well above the average — in many cases exceeding 20 years. Additionally, the Cleveland Clinic confirms that porcelain veneers are among the most durable cosmetic dental solutions when placed and maintained correctly.


Is the Permanent Commitment of Veneers in North Hollywood Worth It?

What Patients Consistently Report

For patients who are clear on the results they want and fully understand the long-term commitment, veneers are one of the most satisfying dental investments available. The transformation in confidence and appearance is immediate and dramatic — and it lasts for decades with proper care.

How A-Dental Center Approaches the Consultation

The key is going in with full information. At A-Dental Center, we show you a preview of your expected results, explain the full veneer process in detail, and make sure every question is answered before you proceed.

For a full overview of what veneers cost at our practice, read our post on veneers cost in North Hollywood. For a broader overview of what dental care costs across all treatments, read our post on how much a dentist costs in North Hollywood.

Call (818) 593-0700 to book your free smile consultation and find out exactly what veneers can do for your smile in North Hollywood.