All-on-4 Dental Implants in North Hollywood: Is It the Right Option for You?

For patients missing most or all of their teeth — or facing the loss of their remaining teeth — All-on-4 dental implants in North Hollywood represent one of the most transformative treatments in modern dentistry. Instead of dealing with loose dentures or going without teeth, patients walk out of treatment with a full, fixed arch of teeth supported by just four implants.

At A-Dental Center, we have helped patients completely transform their smiles and quality of life with All-on-4. This post explains how it works, who qualifies, and what to expect from the process.


What Are All-on-4 Dental Implants in North Hollywood?

How the All-on-4 System Works

All-on-4 dental implants in North Hollywood use four strategically placed implants to support a complete set of fixed teeth. Unlike traditional dentures — which sit on the gums and can slip or rock — All-on-4 teeth are anchored securely in the jaw and function like natural teeth.

Why Most Patients Skip Bone Grafting

The four implants are placed at specific angles to maximize contact with existing bone. As a result, most patients do not need bone grafting — even if they have experienced significant bone loss from missing teeth. In many cases, the entire procedure is completed in a single day. Patients come in without teeth and leave with a full smile.

What the Research Shows

According to the American Academy of Implant Dentistry, implant-supported full-arch restorations like All-on-4 consistently outperform traditional dentures in patient satisfaction, chewing ability, and long-term bone preservation.

To understand why bone preservation matters so much, read our post on how many teeth adults have and what happens when you lose one — bone resorption begins within months of tooth loss and accelerates without implant stimulation.


All-on-4 Dental Implants in North Hollywood vs. Traditional Dentures

A Clear Side-by-Side Comparison

Many patients considering All-on-4 dental implants in North Hollywood are currently wearing dentures or have been told dentures are their only option. Here is how the two solutions compare directly:

  • Stability: All-on-4 is fixed permanently — it does not come out. Dentures are removable and can slip during eating or speaking.
  • Chewing ability: All-on-4 restores near-normal biting force. Dentures, by contrast, reduce chewing ability significantly.
  • Bone health: All-on-4 prevents bone loss through implant stimulation. Dentures actually accelerate bone loss over time — the same process discussed in our post on gum recession, where loss of bone support leads to cascading changes in facial structure.
  • Appearance: All-on-4 looks and feels like natural teeth. Dentures often look artificial and require daily maintenance.
  • Maintenance: All-on-4 requires no adhesives, soaking, or daily removal.
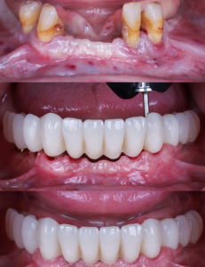
All-on-4 before and after smile transformation — A-Dental Center North Hollywood
A full-arch All-on-4 restoration transforms both function and appearance. Many patients leave with a fixed, natural-looking smile the same day as surgery.

Considering Single-Tooth Replacement Instead?

For patients considering single-tooth replacement rather than full-arch restoration, our post on dental implants vs. bridges covers those options in detail — including cost, longevity, and which situation each suits best.


Who Qualifies for All-on-4 Dental Implants in North Hollywood?

The Right Candidates for This Procedure

All-on-4 dental implants in North Hollywood are appropriate for patients who are missing most or all of their teeth in one or both arches. Patients with teeth that are beyond saving — due to decay, gum disease, or fracture — are also strong candidates. Additionally, good general health and non-smoking status (or willingness to quit) significantly improve outcomes.

How Teeth Reach This Point

Understanding how teeth reach the point of needing full-arch replacement provides helpful context. Our post on what happens if you don’t fill a cavity traces the full progression from early decay to extraction. Furthermore, our post on what a deep cleaning is and whether you really need one explains how untreated gum disease destroys the bone and tissue that support teeth over time.

What About Significant Bone Loss?

Patients with significant bone loss can often still qualify for All-on-4 due to the angled implant placement. This is one of the key advantages of this technique over traditional implant approaches. The Mayo Clinic notes that implant-supported restorations are the closest option to natural teeth in terms of function, appearance, and long-term health outcomes.

The best way to determine candidacy is a comprehensive examination including 3D imaging of the jaw.


What Do All-on-4 Dental Implants Cost in North Hollywood?

Realistic Pricing for the Los Angeles Area

All-on-4 dental implants in North Hollywood typically range from $20,000 to $30,000 per arch. The wide range reflects differences in the type of final prosthesis used, whether extractions are needed, anesthesia options, and individual case complexity.

Comparing the Long-Term Value

While this is a significant investment, it is worth comparing it to the long-term cost of maintaining failing teeth. Repeat treatments, extractions, and temporary solutions add up significantly over time. Additionally, the ongoing cost of traditional dentures — including adhesives, adjustments, and replacements — often rivals implant costs over a decade.

Financing Options at A-Dental Center

A-Dental Center offers financing options to make All-on-4 accessible. For patients who are also uninsured and wondering about financing for other treatments, our post on teeth cleaning costs without insurance in North Hollywood covers our financing options in detail. Contact us for a detailed quote based on your specific situation.


The All-on-4 Process at A-Dental Center in North Hollywood

Step One: Consultation and 3D Imaging

Your journey toward All-on-4 dental implants in North Hollywood begins with a comprehensive consultation and 3D imaging. This assessment evaluates your bone structure, remaining teeth, and overall candidacy. From there, a personalized treatment plan is developed and every step of the process is explained clearly.

Step Two: Surgery Day

On the day of surgery, any remaining teeth are removed and four implants are placed. A temporary fixed arch is attached the same day — so you never go without teeth. The procedure is completed under sedation, ensuring a comfortable and stress-free experience.

Step Three: Healing and Final Restoration

After surgery, a healing period of several months allows the implants to fuse with the bone. Our detailed post on what the first two weeks of All-on-4 recovery really look like covers day-by-day expectations, diet restrictions, pain management, and warning signs to watch for. Once healing is complete, your final permanent prosthesis is fitted — resulting in a confident, functional, natural-looking smile that can last a lifetime.


Ready to Explore All-on-4 Dental Implants in North Hollywood?

Take the First Step Today

If you are living with missing teeth or struggling with failing teeth, you do not have to accept that as permanent. All-on-4 dental implants in North Hollywood can give you back the smile — and the confidence — you deserve.

For a broader overview of what dental care costs in North Hollywood, read our post on how much a dentist costs in North Hollywood. If dental anxiety has been a barrier to seeking treatment, our post on dental anxiety in North Hollywood explains how we make every visit comfortable and judgment-free.

Call A-Dental Center at (818) 593-0700 or book a free consultation online. Our team will give you an honest assessment of whether All-on-4 dental implants in North Hollywood are right for you — and what your path forward looks like.