All-on-4 recovery North Hollywood: What the First Two Weeks Really Look Like
All-on-4 dental implants represent a major surgical and restorative procedure. Patients who are well-prepared for the recovery period experience far less anxiety and far better outcomes than those who go in without expectations. At A-Dental Center, we make sure every All-on-4 recovery in North Hollywood patient knows exactly what is coming. Here is a realistic, day-by-day guide to the first two weeks — so nothing catches you off guard.

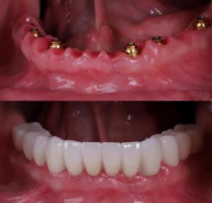
All-on-4 Recovery in North Hollywood: Day of Surgery
What Happens on Surgery Day
All-on-4 surgery is typically performed under IV sedation or local anesthesia with oral sedation. The procedure involves extracting any remaining teeth, placing four implants in the jawbone, and attaching a temporary fixed arch of teeth before you leave the office.
What to Expect Immediately After
You will need a driver — you cannot drive yourself home after sedation. Plan to go directly home and rest for the remainder of the day. You will wake up from sedation with a full set of teeth, some numbness, and initial swelling that increases over the next 24–48 hours.
If you are still in the research phase and weighing your options, our comparison of dental implants vs. bridges explains why All-on-4 is often the superior long-term choice for full-arch replacement.
All-on-4 Recovery in North Hollywood Days 1–3: The Hardest Days
What to Expect During Peak Discomfort
Expect swelling, bruising, and discomfort to peak during this period. This is completely normal and expected — it reflects the extent of the surgical procedure, not a complication.
Managing Swelling and Pain
Swelling is typically worst on days 2–3 and then gradually subsides. Applying ice packs in 20-minute intervals during the first 48 hours helps manage swelling significantly. Pain is managed with prescribed medications — take them on schedule during these early days rather than waiting until pain breaks through.
Diet During the First Three Days
Diet is restricted to liquids and very soft foods — protein shakes, yogurt, applesauce, and broth. For a detailed breakdown of what to eat and avoid after oral surgery, see our post on best foods to eat after a tooth extraction — the same principles apply directly to All-on-4 recovery.
Rest Is Essential
Avoid physical exertion, bending over, or anything that increases blood pressure to the head. Rest is not optional during this phase — it directly affects how quickly and smoothly healing progresses.
All-on-4 Recovery in North Hollywood Days 4–7: Turning the Corner
When Patients Start Feeling Better
Most patients begin feeling meaningfully better by day four. Swelling starts to visibly reduce. Pain management transitions from prescription to over-the-counter medications for most patients during this phase.
Introducing Slightly Thicker Soft Foods
You can begin introducing slightly thicker soft foods — scrambled eggs, mashed potatoes, and soft fish. Still no chewing on the temporary arch. Patience during this phase protects the implants during the critical early healing period.
Oral Hygiene During Days 4–7
Keeping the mouth clean is critical during this period. You will be rinsing gently with prescribed chlorhexidine rinse and warm salt water after every meal. The American Academy of Implant Dentistry emphasizes that oral hygiene during the healing phase is one of the most significant factors in long-term implant success.
All-on-4 Recovery in North Hollywood Week 2: Beginning to Feel Normal
What Week Two Looks Like
By the end of week two, most patients have significantly more energy and are eating a soft but reasonably varied diet. The temporary arch is functional for soft foods. Speech — which may have required some adjustment during the first week — normalizes completely for most patients by the end of week two.
Your Follow-Up Appointment
You will have a follow-up appointment around day 7–10 to check healing progress and address any adjustments needed on the temporary arch. This appointment is important — it allows our team to catch any early issues before they affect long-term outcomes.
What Research Shows About Long-Term Results
According to the Mayo Clinic, most patients report that implant-supported teeth feel and function more naturally than any other tooth replacement option once fully healed. The temporary phase is simply a stepping stone to that permanent result.
Important Restrictions During All-on-4 Recovery in North Hollywood
What to Avoid Throughout the Temporary Phase
Several restrictions apply during All-on-4 recovery in North Hollywood — some for the first two weeks only, others for the full temporary phase of 4–6 months:
- No hard, crunchy, or chewy foods for the duration of the temporary phase
- No smoking — nicotine severely impairs healing and dramatically increases implant failure risk. Our post on how to stop grinding your teeth at night also covers how habits like bruxism can jeopardize implants long-term
- No straws during the first two weeks
- No vigorous exercise for 1–2 weeks
- No touching or probing surgical sites with your tongue or fingers
Monitoring for Gum Recession Around Implant Sites
If you are concerned about gum recession around implant sites as you heal, this is something our team monitors closely at every follow-up appointment throughout recovery.
Questions During Your All-on-4 Recovery in North Hollywood?
A-Dental Center patients have direct access to our team throughout their recovery period. If something does not seem right — unusual pain, swelling that is getting worse rather than better, fever, or any concern at all — call us immediately.
For a full overview of what All-on-4 treatment costs in North Hollywood, read our post on how much a dentist costs in North Hollywood. If dental anxiety has been a barrier to seeking treatment, our post on dental anxiety in North Hollywood explains how we make every visit comfortable and judgment-free. If you are preparing for All-on-4 recovery North Hollywood, understanding each stage helps ensure a smoother experience and better long-term results.
Call (818) 593-0700 immediately if you have any concerns during your recovery. We are here for you through every stage of the process.





