**Limited time offer. We offer affordable 3rd party financing up to 120 months. Monthly rate depends on approval.
A lot of dentists have started to place dental implants and offer the All-On-4 Dental Implant Treatment. However, there is a difference between doing something that lasts for 5 years vs. something that will actually last a life-time.
Bone health, tissue health and systemic health need to be considered when performing implant surgery to ensure long-lasting success. This is what makes us different.
(Includes Placing the Implants, Extractions and a Temporary Denture)
Choose Your New Teeth
Option 1
$4,000 per Arch
Demonstration model illustrating blue housings on Denture that snap into golden locators on model.
**Limited time offer. We offer affordable 3rd party financing up to 120 months. Monthly rate depends on approval.
Permanently Screwed on to Implants
$8,000 per Arch
Demonstration Model Illustrating Abutment Screws that Attach to the Titanium Frame and Dental Implants.
Option 3
Permanently Screwed on to Implants
$13,000 per Arch
Milled Zirconia (Porcelain) Framework often with Custom Titanium Substructure and Zirconia Teeth.
**Limited time offer. We offer affordable 3rd party financing up to 120 months. Monthly rate depends on approval.
While full dentures can be an effective solution for tooth loss, many patients experience dissatisfaction with their functionality and comfort. All-On-4 is a more stable and permanent solution that enhances the quality of life, making it an excellent alternative for those seeking a full arch replacement.
Dr. Fadi Elzayat is a seasoned dentist and proud graduate of USC School of Dentistry. With over 20 years of experience, Dr. Elzayat is the heart of A-Dental Center in North Hollywood, where he leads a dedicated team in providing exceptional dental care. Specializing in cosmetic dentistry, he is focused on dental implants, including transformative All-On-4 procedures.
Dr. Elzayat combines his extensive expertise with a warm and friendly demeanor. As a Fellow of the International Congress of Oral Implantologists and an active member of professional dental associations that include the San Fernando Valley Dental Association, the California Dental Association, and the American Dental Association, Dr. Elzayat upholds the highest standards of care.
Beyond technical excellence, he has gained a reputation for being honest and gentle. His commitment to patient satisfaction shines through, ensuring each visit is not just about dental health but also about understanding and addressing individual needs. Serving the communities of North Hollywood, Burbank, Studio City, and Greater Los Angeles, Dr. Elzayat invites you to experience comfortable, stress-free care at A-Dental Center.
Call or schedule online to embark on a journey to a healthier, more beautiful smile.



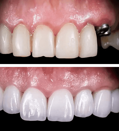
*Some before and after images on this page are stock photos. We use these photos because we have produced similar results for our own patients. This page is not associated with Google, Facebook or any of their partners.
Known in North Hollywood as “The Friendly Dentist”, A-Dental Center has been a family-owned dentistry in Los Angeles since 1998. We’ve become one of the most trusted dental offices in the North Hollywood and San Fernando Valley areas. From dental implants including All-on-4 procedures and root canals, to Invisalign and teeth cleanings, our team has been trusted to provide outstanding general and cosmetic dentistry. We are extremely proud for having a reputation for being honest and gentle.
Your dentist in Los Angeles tries to give same-day appointments, especially for dental emergencies, while trying our utmost to keep dental treatment accessible and affordable to everyone. We even offer patients without insurance our Dental Membership Plan.
Call today or Make an appointment online
11335 Magnolia Blvd Suite #1a North Hollywood, CA 91601
Our friendly reception staff are standing by to assist you however possible! Call today !
Have a question? Feel free to send us a message and we will get back to you promptly!